在苏州,心灵手巧的绣娘可在绸缎上用针绣花。在苏大附一院,有这样一位骨科专家,他用手上的柳叶刀在患者手臂上实施精细的“绣花”治疗,完成苏州市首例全肱骨肿瘤切除+3D定制假体置换手术,给骨肿瘤患者带来了生活的希望!
六旬大叔骨癌复发面临截肢
两年前,刚步入退休生活的方大叔原本以为自己操劳了半辈子,终于可以过上含饴弄孙的清闲生活了,没想到此时病魔却找上了门。2017年初,63岁的方大叔经检查发现患有右肾癌,同时伴有左侧肱骨转移,当时做了腹腔镜下右肾癌切除+左肱骨肿瘤刮除+重建手术。
一年后,他的左上肢却再次出现疼痛、肿胀等现象,将近3个月的保守治疗不仅丝毫不见成效,疼痛反而逐渐加重,甚至无法入睡。经过再次检查,他才得知,原来手术的肿瘤复发了!
许多医生都认为只能截肢。为了保住这条珍贵的手臂,方大叔几经辗转,最后通过他人的推荐,来到了苏大附一院骨科主任医师陆俭的诊室。

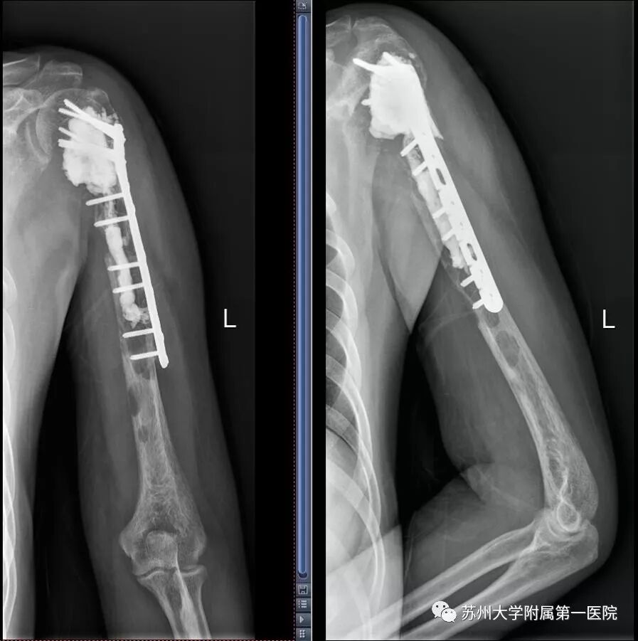
方大叔第一次手术后复发的X线片
陆俭主任仔细查看方大叔的病情后发现,由于方大叔花费了很长时间四处寻医,一定程度上耽误了就医时间,如果再拖延下去,过不了多久,肿瘤就会转移别的部位!若是转移到尺桡骨,就只能选择截肢了,更进一步就是全身多发转移而死亡,开展治疗刻不容缓!
骨科专家妙手仁心3D置换假体

在充分考虑方大叔渴望保全手臂的意愿后,陆俭主任立即对病情进行了全方位的评估。陆主任反复仔细研究方大叔的病情,分析了影像资料,考虑肿瘤主要集中在肱骨内,周围软组织无侵犯,认为患者完全可以在根治性切除肿瘤的同时,保留肢体形态与功能。在取得方大叔本人及家属的同意和认可后,最终决定为方大叔进行高难度的全肱骨肿瘤切除+3D定制假体置换手术。
陆俭主任介绍,该手术术前要进行精确的肱骨及肩、肘关节径线、角度的测量,定制3D人工假体,须做到个性化和精细化的准备。由于全肱骨置换术难度大,而方大叔已经是第二次手术,完整切除难度相当高。
肱骨周围分布着重要的神经、血管,稍有不慎就会造成患肢血液循环和功能的严重障碍,需要非常小心地开展手术,逐一妥善分离和保护。为了保证患肢功能的恢复,在全肱骨和肿瘤切除后,还需要进行繁琐的重建程序。尤其要把握好假体放置的各种角度、各组肌腱止点恰当牢固的重建、假体长度的精细调整,以满足术后患肢的功能得到最大程度的恢复。

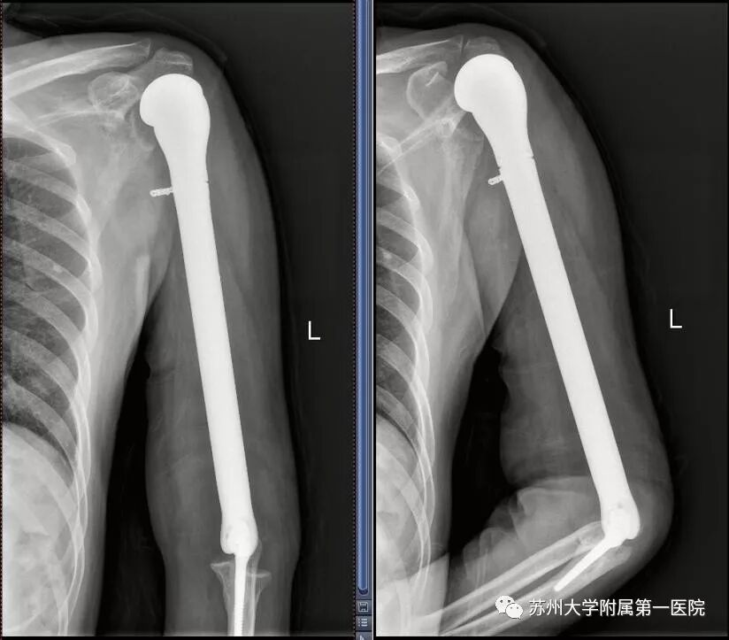
方大叔手术后3天的X线片
这是一场“穿针引线”、堪称“绣花”的高难度手术。不仅需要巧妙地绕开神经和血管,切除病灶,放置假体,而且还需要一点一点将肌腱重新搭好。
最终,在医院、科室、团队、患者和家属等多个层面的支持和努力下,在骨科杨惠林主任、黄立新主任的关心和指导下,经过一个多月的精心准备,麻醉科、手术室等多学科医护人员携手合作。历经4.5个小时后,陆俭主任团队顺利为方大叔完成了手术。
术后3天,方大叔就开始下床,慢慢进行功能锻炼。术后一周,患肢的疼痛就已经基本消失,功能也恢复了80%以上。术后VAS疼痛评分从术前的8分降到术后的2分。在大家都为手术的成功感到高兴时,陆俭主任心里却依然绷着一根弦,手术的成功只是一个重要的开始,术后的恢复如何,是否还会复发等问题依然是个未知数。
科技助力患者回归健康生活
2019年底,距离方大叔手术已经过去一年。在这一年里,方大叔平均每两个月来复查一次,检查结果都非常好。前两天,他再次进行了术后的复查,复查结果显示肿瘤未见复发,假体位置好。现在肢体功能也已经恢复了90%以上,除了不能提重物以外,可以说已基本步入正常生活。

术后一年复查X线片显示肿瘤未见复发,假体位置好
随着保肢技术的逐渐成熟以及3D打印和医学材料的发展,以综合治疗为基础的保肢治疗现在已经成为一种常规治疗。自2016年开始,陆俭主任团队最先开展了膝关节肿瘤的定制假体手术,陆续开展了膝、髋、股骨、肩、胫骨等各个部位的肿瘤大段切除、肿瘤假体置换,对该技术的开展具有了成熟的经验。
此次陆俭主任主刀完成的全肱骨肿瘤切除+3D定制假体置换手术,此类高难度手术,目前仅见于国内为数不多的骨肿瘤中心,在苏州市尚属首次!该例全肱骨置换术的顺利完成,代表着团队在骨肿瘤高难度手术方面的技术日臻成熟,也为骨科保肢治疗技术掀开了新的一页,同时也为不幸罹患恶性肿瘤的患者带来了福音。
陆俭主任给广大患者进行科普:当患者情况符合手术条件的情况下,采用假体置换术,可以使肱骨的病灶不再进展,采用定制肿瘤型关节假体置换术治疗恶性骨肿瘤,同时配合放、化疗等综合性治疗方法,能够有效保留患者的肢体及关节功能。
与其他重建方法相比,定制肿瘤型关节假体具有肢体可早期负重、功能恢复快、使用期长等特点,能有效提高患者生活质量,是骨肿瘤保肢治疗较为理想的选择,值得在临床中推广应用。
因此,得了肿瘤也不要怕,随着内外科综合治疗的发展,很多肿瘤患者的生存期可明显延长,只要得到科学正确的治疗,患者的生存质量和生存期都会得到极大的改善和提高!
陆 俭
苏大附一院骨科,副主任医师,硕士生导师,中华医学会骨科学分会骨肿瘤学组委员,SICOT中国部骨肿瘤学会第一届委员,中国医药教育协会肢体肿瘤分会委员,中国医药教育协会骨与软组织肿瘤专业委员会委员,中国医药教育协会血液学专业委员会多发性骨髓瘤外科学组委员,苏州市医学会骨科学专业委员会骨肿瘤学组副组长,苏州市肿瘤生物治疗学会第一届理事会理事。
总院:周一全天,下午为“骨肿瘤”专病门诊
十梓街院区:周三上午
















































