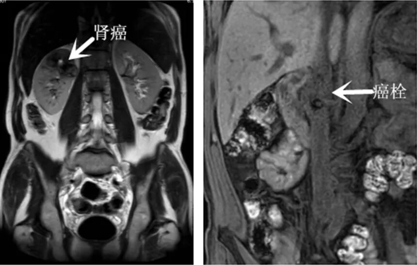
兰州大学第二医院 我院泌尿外科成功开展一例达芬奇机器人辅助微创右肾癌根治并下腔静脉II级癌栓切除术 泌尿外科新闻资讯 近日,兰大二院泌尿外科三病区杨宁强副主任医师团队为一位50岁右肾癌合并腔静脉II级癌栓的男性患者成功实施了“达芬奇机器人辅助微创右肾癌根治性切除术并腔静脉癌栓切除术”,成功挽救了患者的生命。 患者体检发现肾脏占位性病变,就诊于当地医院行相关检查后诊断为右肾癌合并下腔静脉癌栓,同时合并糖尿病、颈动脉斑块,颈内静脉血栓及冠状动脉斑块等疾病。肾癌合并下腔静脉II级癌栓属临床少见病例,且患者患有多种基础疾病,手术风险极高。 鉴于患者的复杂病情经术前MDT讨论后实施了达芬奇机器人辅助下右肾癌根治+下腔静脉瘤栓切除术,术中血管阻断完全,取出癌栓长约5.2cm,病灶清除彻底,术中出血约50ml,手术顺利,患者康复出院。 【相关阅读】 肾癌合并下腔静脉癌栓是癌细胞突破肾脏血管,延伸进入下腔静脉,形成癌栓,相当于在人体内安装了一颗不定时炸弹,术中一旦癌栓脱落,随血流进入肺动脉,形成肺栓塞后,易发生猝死。兰大二院泌尿外科作为国家临床重点专科,在泌尿外科各个高精尖领域手术方面充分发挥了达芬奇手术机器人的各项优势,以先进的理念和技术及多样化的诊疗手段为广大患者的健康保驾护航。


















































