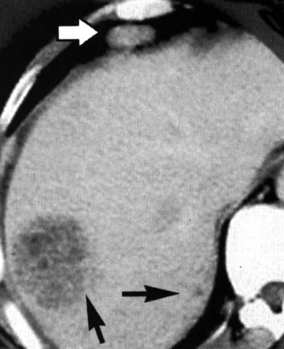
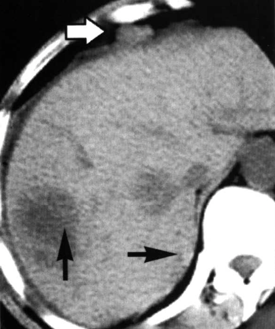
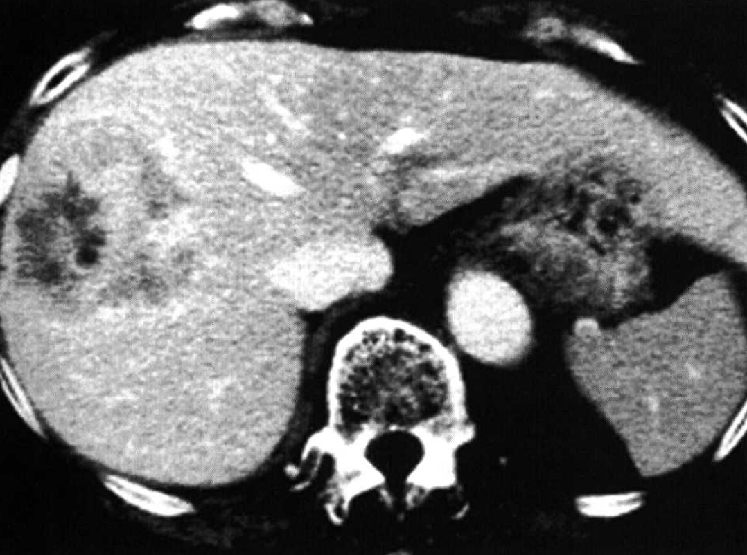
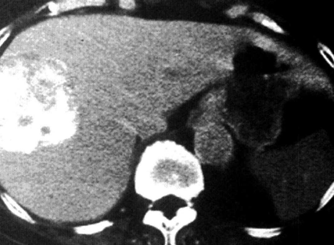
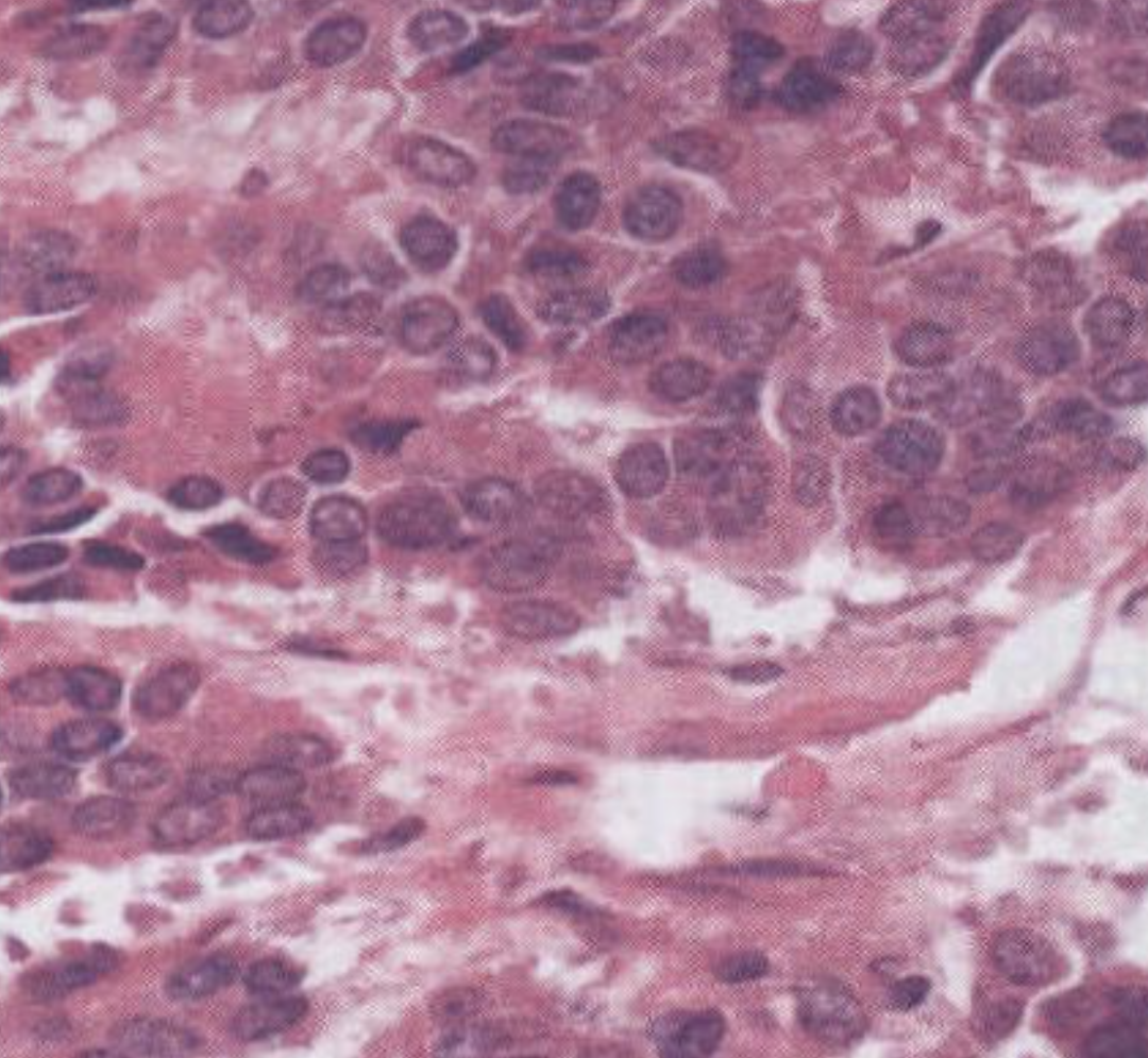
原发性肝类癌(primary hepatic carcinoid tumor,PHCT)是一种极为罕见的、生长缓慢的上皮细胞肿瘤,具有恶变倾向,临床上仅有少数患者有类癌综合征表现。 类癌是一类具有不同的组织学、细胞学及生物学特点的肿瘤的总称。采用传统的光镜、电镜、生物化学或免疫细胞化学的方法,只要能够证实肿瘤存在神经内分泌分化的物点,均可定义为神经内分泌肿瘤。 神经内分泌肿瘤包括两类:恶性上皮肿瘤以及类癌。前者具有活跃的细胞分裂特征、坏死以及血管浸润,而后者为良性或低度恶性肿瘤,一般具有分化程度好、有丝分裂细胞数量少、细胞形态均匀一致、预后较好的特点。 PHCT的细胞来源一般认为是肝内胆管上皮组织的嗜银细胞。肝脏及胆道是从肝憩室发育而来,而肝憩室来自前肠内胚层。PHCT具有其他前肠来源类癌的组织学、组织化学及超微结构特点。 电镜检查可见类癌细胞有伸直的微绒毛以及胆管上皮特有的紧密连接复合体。 已经有报道原发性肝癌与PHCT可以同时存在,表明它们可能均来自于同一个多潜能的干细胞。 临床症状无特异性,易误诊,同时PHCT多在早期发生肝内转移或局部淋巴结转移。早期诊断、尽早治疗,有利于提高患者生存率。 一、病理表现 PHCT肉眼观察可见肿瘤与正常肝脏组织分界明显,肿瘤切面呈灰黄色或黄色,有分叶,内有出血及纤维组织分隔,坏死灶少见,可有多发的囊性区,纤维囊不完整。肿瘤包膜可不完整,并且在一些肿瘤可见门静脉系统的浸润,表明肿瘤仍有浸润及转移的特性。 PHCT在光镜下可表现为团片状、腺管型、巢状、粗梁型或细梁型,可有玻璃样变,肿瘤细胞形态均匀一致,细胞核大小及形态极其相似,肿瘤细胞可为多角形、立方形或柱形,细胞核圆,居中,呈囊状,细胞核膜薄。细胞浆呈嗜伊红染色,核分裂相罕见。肿瘤组织有丰富的毛细血管,可见多量的瘤内出血灶。肝组织一般正常,无肝硬变的表现。 由于PHCT罕见,同时在光镜下不易与原发性肝癌鉴别,PHCT的诊断困难,许多预后良好的原发性肝癌可能本质上是PHCT。 采用传统的HE染色光镜观察,典型的类癌可见清晰的核周区,电镜检查发现该区域包括排列杂乱无章的中微管、神经分泌颗粒以及线粒体、内质网、溶酶体、中心颗粒以及高尔基复合体等细胞器(图1)。 图1肝脏原发性类癌HE染色病理表现(作者实拍) 80%的病例Grimelius银染阳性,免疫组织化学检查可表现为突触素Syn、抗神经元特异性烯醇化酶抗体(NSE)、抗嗜铬颗粒蛋白A抗体、抗血清素抗体、抗胃泌素抗体、抗胰岛素抗体等染色阳性,其中以抗嗜铬颗粒蛋白A抗体染色阳性的特异性最强(图2)。 图2肝脏原发性类癌免疫组化Syn染色病理表现(作者实拍) 84%的病例染色阳性。抗NSE也具有较强的特异性。电镜检查可见典型的神经内分泌颗粒。电镜发现胞浆致密核心颗粒可诊断类癌。有些肿瘤可表现出器官样的结构或呈栅栏样排列。大的多角细胞可排列成管状结构,周边有微绒毛,微绒毛的中央是微管。腔隙周围的细胞间靠连接复合体,复合体中有大量的杂乱分布的桥粒。肿瘤细胞胞浆中可见有散在分布的粗面内质网、大量的张力细丝束以及核致密颗粒簇等。 二、临床表现 小的PHCT早期可无症状,肿瘤较大时则可有肝区胀痛、腹胀、纳差等;部分患者还可有促肾上腺皮质激素异常分泌所产生的肾上腺皮质功能亢进症状,并可有胃泌素、降钙素及胰岛素等分泌过多所引起的相关症状。 有些患者则有因血清素增加所产生的如皮肤潮红、腹泻、腹痛和哮喘等症状。体检可在上腹部触及表面光滑的硬性或囊性肿块,有些还可闻及血管杂音等。 肝脏类癌女性多于男性,发病年龄分布广泛,平均年龄49.5岁。无特异的临床症状和体征,起病隐匿,早期不易发现。 后期可出现以下症状: (1)因肿块增大引起局部症状; (2)异位神经内分泌产物引起类癌综合征,但由于其数量不足或质量缺陷,往往不能激活靶器官而发挥生物学效应; (3)转移瘤引起的症状、体征。肝脏类癌生长速度缓慢,恶性程度较低,较少出现转移,预后好,但也有部分病例出现骨、淋巴结转移。由于肝脏类癌无特异的临床症状和体征,少见类癌综合征,临床所见病例极少,故诊断困难。 如前所说,因为部分类癌患者可产生血清素,使尿中5-羟吗哚乙酸排出量增多,所以,实验室检查可发现部分患者的尿中5-羟吲哚乙酸增高,可高达50~500mg/24h(正常为<10mg/24h,>25mg/24h即为阳性),部分患者还有胃泌素紊升高。 肝功能和(或)AFP等肿瘤标记物检查可正常或升高。 三、影像表现 (一)超声表现 PHCT在超声上呈边缘清楚、回声不均匀的高回声或低回声肿块(图3),也可在肿瘤中心和边缘有多发性小的液化坏死、囊性回声区。 图3肝脏原发性类癌超声表现(作者实拍) (二)CT表现 PHCT在平扫CT上呈边缘清楚、密度不均匀的低密度病灶,该病灶的中心和边缘均可有小的囊性病变区,位于PHCT中心的小的囊性病变的边缘可有钙化;常规CT增强扫描可见PHCT有不均匀强化,PHCT和(或)平扫上所显示的 PHCT内的小囊性病变区的边缘也会变得更清晰;动态CT增强的动脉期可见病灶边缘有明显强化;门静脉期病灶边缘强化更明显,中心有放射状的无强化区;延迟5min后扫描显示病灶与正常肝实质呈同等强化,且中央部分也强化。 也有报道说在动态CT增强的早期可见PHCT病灶有强化,但病灶内有点状无强化区;在晚期扫描也表现为点状低密度区的等密度或略低密度病灶(图4)。 图4肝脏原发性类癌CT表现(作者实拍) PHCT远较原发性类癌为多,常为多发性,不易与其他类型的转移性肿瘤鉴别。CT可显示肝内有多个大小不等的低密度病灶,增强时病灶边缘似见花边状增强(图5)。 图5转移性肝转移性类癌CT表现(作者实拍) (三)MRI表现 PHCT在平扫T1WI图像上常表现为边缘清楚的、内含多个小的高信号灶、不均匀的低信号肿块,也可表现为含有多个低信号区的等信号病灶,在用Gd-DTPA增强的T1WI上可见动脉期边缘明显强化,在门静脉期、延迟期逐渐向中心强化,信号高于正常肝实质; PHCT在化学脂肪饱和的T1WI图像上表现为内有斑点状高信号区的肿块;在T2WI图像上PHCT可表现为呈含有低信号间隔的高信号肿块,也可呈含有低信号和更高信号的高信号肿块;在T2WI自旋回波平面成像(EPI)上PHCT的信号非常高;用顺磁性氧化铁(SPIO)增强后肿瘤的边缘更清晰;在质子加权图像上可显示代表肿瘤包膜的低信号带,增强后病灶的实质部分可强化(图6)。 (四)血管造影表现 在血管造影上PHCT可显示为有或无新生血管的富血管性肿瘤染色,但无动脉-门静脉分流和门脉栓塞表现(图7)。 图7肝转移性类癌血管造影表现(作者实拍) (五)核素扫描表现 在用99Tc和67Ga作为放射源的核素扫描图上,PHCT均显示为冷区或冷点。 四、鉴别诊断 须与PHCT鉴别的病变有肝细胞癌、肝肉瘤和富血管的肝转移肿瘤。 有人认为PHCT在影像学上的表现缺乏特征性,故在影像上无法与HCC鉴别。此时则需结合如有无肝炎、肝硬变病史、肿瘤增长速度以及AFP、CEA有无异常等临床资料作出鉴别:PHCT患者常无肝硬化,AFP、CEA也正常;而HCC患者则常有肝炎、肝硬变、肿瘤增长速度较快以及AFP、CEA常有升高等。 有人认为还可根据MRI所显示不同表现的肿瘤包膜进行鉴别:HCC的假包膜在T1WI上呈低信号,T2WI上显得不太清晰,或呈内层低信号、外层高信号的双层信号影;而PHCT的包膜在T1WI上则显得不太清晰,但在质子加权像上则表现为低信号带;有人认为MRI上的这种信号差异实质上是反映了这两种包膜在组织学上的差异:HCC的(假)包膜是由被肿瘤压迫的正常肝组织、小血管和新形成的胆管等所组成;而PHCT的包膜则是由增厚的纤维组织构成。 肝脏肿块内有多发小囊肿样表现可能是PHCT的特征,这些小囊肿在CT增强后表现为不能强化的小的低密度病灶,而在MRI的T2WI上则表现为小的高信号病灶。 已明显囊变成为巨大囊肿样的PHCT影像表现与肝囊肿及肝囊腺瘤等嚢性病变极其相似,须予以鉴别。

























































