2021年12月中旬,在浙江大学医学院附属邵逸夫医院庆春院区手术室内,一台“不寻常”的外科手术正有条不紊地进行当中: 一边,肝胆胰外科楼颂梅主任医师娴熟地使用胰胆镜,为患者置入胰管支架以保护胰管,并通过腹腔镜、超声定位腹内巨大囊肿与胰头部胰管精准位置; 一边,梁霄主任医师全神贯注地操纵着达芬奇机器人辅助腹腔镜系统,一点点将胰腺游离后,仔细且小心地将一个巨大囊肿完整精准地切除。 耗时两个小时,手术顺利结束。这场手术挽救了一位而立之年的职业女性,术后不仅疤痕很小,更重要的是精准保留了她大部分胰腺功能。同时,这台胰胆镜联合机器人手术的成功打破了行业内新的纪录,再次体现了邵医微创的创新与能力。 “生活给我开了玩笑,但你们却给了我新生。”患者陈女士(化名)感概道。
陈女士今年31岁,研究生毕业、工作稳定,正处在事业的上升期,一切本都在往好的方向发展。但一项影像检查,却如同掷入湖面的石头一般,将陈女士平静的生活砸起了阵阵涟漪。
“这三年多,我时不时就会想起自己的肚子里长着一颗东西,挺吓人的,尤其是当和别人闲聊时听到谁谁谁身体里长了肿物,我一下子就会联想到自己的情况,担心、害怕等种种情绪严重影响了正常生活。”陈女士说。
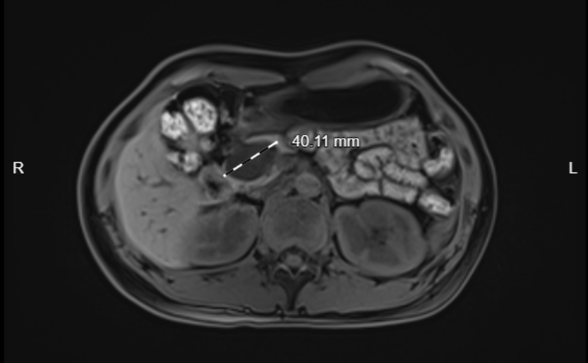
早在3年前体检时,经上腹部增强磁共振,陈女士发现了自己的胰腺有一块40*28mm的占位,初步考虑胰头部囊性病变,囊腺瘤,同时肝脏也有较小的血管瘤和囊肿。
当时由于胰腺囊肿不是很大,对陈女士的生活没有造成大的影响,便没有作任何处理,仅安排了定期随访。
可焦虑的种子已然深深埋入了陈女士的心底。为此,她还特意改变了自己的饮食习惯,“以前我还挺喜欢吃刺激性的食物,但现在一想到吃这种东西有让囊肿变大的可能,我都会抵制住诱惑,选择去吃清淡点的,真是太煎熬了,这颗囊肿仿佛是生活跟我开了个玩笑。”

遗憾的是,这个玩笑“越开越大”。
陈女士的小心谨慎并没有换来囊肿的持续稳定。根据医嘱,陈女士每年都会定期复查自己胰腺囊肿的情况,前两年的影像报告提示她的胰腺囊肿并没有变大。可到了今年,陈女士再次体检时却发现胰腺上的囊肿在短短一年里迅速增大至68*42mm,这令她一下子慌了神。
“我当时看到报告整个人是懵的,医生还是建议我手术,我又害怕又焦虑,脑子都在嗡嗡作响。”陈女士回忆当时在门诊的情形,“但医生的话是有道理的,我最终还是坚定了决心,这个囊肿就在那儿越长越大,迟早得做手术。”
在母亲的陪伴下,陈女士冷静了下来,决定还是直面这场突如其来的意外,母女俩通过上网查阅,慕名来到了微创技术领先全国的浙江大学医学院附属邵逸夫医院,找到了肝胆胰外科知名专家蔡秀军教授,蔡秀军教授认为肿瘤生长迅速,有手术指征,建议她立马住院行微创手术切除。
囊肿位置“生得不巧”可能要切除多个器官?
陈女士顺利入院,可内心的紧张和疑虑依旧挥之不去。蔡秀军教授团队、普外科梁霄主任医师耐心地解答了陈女士的系列疑问。
“手术十分必要,因为这颗囊肿长在了胰头部,且生长迅速,大到快要压迫胆管和胰管的汇合处——十二指肠乳头部了,万一此处被压迫,胆汁和胰液都将不能排到肠道里,从而会导致持续腹痛、黄疸、恶心呕吐等等症状,甚至影响到肝脏和胰腺的功能,引起身体严重的反应。虽然听起来很可怕,但这些情况是可以通过积极的外科手术策略避免的。”
梁霄主任医师的一番话让陈女士及她的母亲稍稍松口气,但是随后谈论的手术方式及风险再次让母女俩的心脏提到了嗓子眼。
通过磁共振胰胆管成像(MRCP)的影像片子来看,陈女士的胰腺囊肿已经非常贴近主胰管,普通的手术方式无法规避在剜除囊肿时伤害到主胰管的风险,若是主胰管受到了机械性伤害导致破裂,胰液由非生理途径外流,则会发生非常严重的并发症——胰瘘,严重时可引起毒血症、败血症、多器官功能衰竭等情况,后果不堪设想。
为了避免胰瘘这种并发症的发生,对于陈女士这种复杂的情况,一般常用胰十二指肠切除术(Whipple手术),这是一种对人体内部脏器伤害性较大且对于脏器正常生理结构有所改变的扩大性术式,需要切除部分胃、十二指肠、部分空肠、部分胰腺、胆总管、胆囊等多个器官,再通过人工吻合重建消化道,术后患者损失部分原有的器官功能,并且仍存在胰瘘、胆瘘、肠瘘、出血等并发症风险。
但是,梁霄主任医师根据术前检查判断,陈女士的囊性肿瘤尚未恶变或转移,又考虑到陈女士年纪尚轻,未来的生活品质非常重要,他给出了一个既能保留所有器官,又能切除病灶,但对医生考验巨大的手术方案——胰管支架置入+机器人辅助胰腺囊肿切除术。
胰腺功能得以完整保留,生活不受影响
梁霄主任医师的这一方案充分结合了胰腺局部切除术前胰管支架置入术和机器人辅助手术两种手段的优势。
一方面,胰腺术前经口胰胆镜下置入塑料胰管支架(ERCP+ERPD),相当于给胰管上了一层保险,胰管支架可以帮助主刀医生在术中识别胰管,减少胰管损伤的可能;即使发生胰管损伤,中空的胰管支架也能充分引流胰液至肠腔,显著减少胰瘘的发生率。
另一方面,机器人辅助手术较传统腹腔镜外科手术视野更清晰(放大10倍),防止手指抖动,操作更灵活、更精细、更精准,创伤更小,在胰腺局部切除时尽可能减少胰管损伤的风险。
这个手术方案创伤小、可以完整保留胰腺功能。患者手术痊愈后,只需通过胃镜就能取出胰管支架。
梁霄主任医师说:“我们微创的意义不局限于刀疤小,更重要的是在完整切除病灶的前提下,尽可能保留患者的器官功能,减少手术创伤,术后快速康复,长期生活质量不受影响。
最近几年,机器人辅助手术在邵逸夫医院普外科已经被广泛运用,技术已经相当成熟,同时楼颂梅主任医师团队常规开展胰腺局部切除术前胰管支架置入术,术前胰管支架置入成功率在98%左右,平均用时20分钟,放置胰管支架的病人术后均未发生胰瘘。”
按照这一方案,手术顺利进行。术后,陈女士身体逐渐恢复,各项指标也慢慢回归正常,术后一周安然出院。见陈女士一改入院时的愁容满面,梁霄主任医师团队也都非常欣喜。
梁霄主任医师表示:“胰胆镜联合机器人手术体现了医院各亚专科的精诚合作,帮助患者规避了创伤较大的Whipple手术,手术成功带来的意义也是十分巨大的,我们可以自豪地说,术前置入胰管支架+胰腺局部切除这种手术方案在邵逸夫医院已经成熟,并值得推广。”

据介绍,梁霄主任医师是目前浙江省肝胆胰外科机器人手术领域个人手术量排名全省第一的外科医生,也是省内首位率先单人突破200例机器人辅助肝胆胰外科手术的外科医生,不久前刚获得了“达芬奇杯”机器人肝胆胰手术视频大赛一等奖。





































