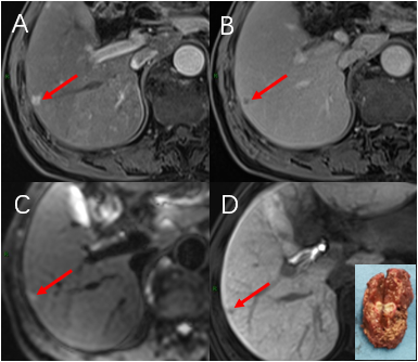
近年来,影像医学飞速发展,各种影像检查新技术层出不穷,这些新技术对临床医师诊断疾病有极大的帮助,患者也从中获益良多。 但是临床医师经常遇到这样的困惑,“这个病人/这种疾病适合哪种影像检查?”患者也常常有这样的疑问,“为什么医生要让我做这个检查?到底有没有必要?” 针对这类问题,仁济医院放射科将陆续推出一系列关于影像新技术的科普文章,期望能为广大医务工作者和患者答疑解惑,更好推动诊疗水平的提高及各类影像学新技术的运用。 李先生30岁出头,患有乙肝后肝硬化多年,今年医生让他做“肝细胞特异性对比剂磁共振增强检查”进行体检,发现肝内有一枚直径仅8毫米左右的结节,考虑为微小肝癌。 随后医生为他进行了肿瘤切除手术,病理显示为:早期的微小肝癌。由于肿瘤发现早、治疗及时,李先生术后恢复良好。 这是一种针对肝脏肿瘤的磁共振检查,检查时需要静脉内注射肝细胞特异性对比剂:钆塞酸二钠(Gd-EOB-DTPA)。 钆塞酸二钠除了具有与传统磁共振细胞外对比剂相似的功能以外,还可以通过肝细胞膜上的OATP通道转运进入肝细胞,再通过MRP通道排泄入胆道。钆塞酸二钠在肝细胞内的停留使得整个肝脏明显强化,在静脉注射后20-60分钟左右达到峰值——这段时间称为肝胆期。 2020年,全球肝癌新发病例约90万例,其中中国占了45.3%,全球肝癌死亡病例约83万例,中国占47.1%。肝癌是我国导致死亡的第2大癌症,导致如此高死亡率的最重要原因在于,我国肝癌患者超过七成为中晚期。因此,对肝癌高危人群定期进行体检,早期发现肿瘤意义重大。 肝癌高危人群通常指的是各种类型引起的慢性肝炎(特别是慢性病毒性肝炎)、肝硬化、以及既往有过肝癌病史的患者。由于肝癌大多遵循从再生结节-不典型增生结节-分化良好肝癌-分化不良肝癌的自然演变过程,监测、区分上述这些不同类型病变的性质就变得十分重要。 还记得前面提到钆塞酸二钠是通过肝细胞膜上的OATP通道转运吗?肝硬化结节从良性逐渐发展成为肝癌的过程中,伴随着正常肝细胞功能的丧失和OATP通道的逐渐减少。肝胆期病灶灰度也会表现出与周围灰白色背景明显差异的灰黑色,从而可以通过肝胆期结节在图像上灰白程度帮助判断是否已经进展到肝癌。由于肝胆期正常肝脏背景会变白,可以非常敏感的检出灰黑色的小病灶。就像在白纸上有一粒黑色的芝麻,尽管芝麻很小,但也很容易被发现。 ▲ 一例1.2cm小肝癌患者。肝细胞特异性对比剂磁共振增强检查(A)动脉期和(B)门脉期常规图像上的病灶十分隐匿。(C)20分钟肝胆期白色背景下病灶明显(红箭),灰黑色的病灶提示该结节已经进展到肝细胞癌阶段,丧失了OATP通道表达。(D)为手术的病灶剖面,病理为肝细胞癌。 ▲ 一例仅6mm的微小肝癌。肝细胞特异性对比剂磁共振增强检查(A)动脉期和(B)门脉期表现为典型“快进快出”强化方式的微小病灶(红箭)。(C)DWI弥散加权图像上轻微弥散受限。(D)20分钟肝胆期图像上结节呈灰黑色,考虑肝癌可能性非常大。右下角为手术标本剖面,病理结果为肝细胞癌。 怀疑局灶性结节增生的患者 对于非肝癌高危人群来说,肝细胞特异性对比剂磁共振增强检查主要用于判断肝内结节是否是局灶性结节增生(FNH,Focal Nodular Hyperplasia)。FNH是第二常见的肝脏良性肿瘤,由于FNH内含有正常肝细胞,因此在肝胆期上通常表现为同背景相似的灰白色,而其他类型肿瘤不含有正常肝细胞在肝胆期表现为灰黑色,从而可以进行鉴别。 有原发肿瘤病史怀疑肝脏转移瘤的人群 由于肝胆期正常肝脏强化较门静脉期更为显著,很容易发现在“白色”背景下的“黑色”小病灶。对于有原发肿瘤病史怀疑存在肝脏转移瘤的患者,肝细胞特异性对比剂磁共振增强检查可以帮助发现潜在的肿瘤微小转移灶。 检查报告结论有点复杂,啥意思呀? 对于有肝癌危险因素的患者,我们使用LI-RADS v2018版报告规范对病变进行分级。 LR-M = 高度怀疑/几乎肯定肝脏恶性肿瘤 LR-TIV = 肝脏恶性肿瘤合并静脉癌栓 LR-5 = 几乎肯定肝细胞肝癌 LR-4 = 很有可能肝细胞肝癌 LR-3 = 对于该病灶不能确定良恶性 LR-2 = 很有可能是良性病灶 LR-1 = 几乎肯定是良性病灶 LR-NC = 因技术或其他原因对病灶性质归类 对于肝脏肿瘤局部治疗后,如射频消融、经皮无水乙醇消融、冷冻消融、微波消融、动脉栓塞或化疗栓塞等的治疗反应评估,将使用以下分级(TR表示治疗反应Treatment response): LR-TR Viable = 治疗后存在活性肿瘤 LR-TR Nonviable = 治疗后无活性肿瘤 LR-TR Equivocal = 治疗后肿瘤活性不确定临床故事
什么是肝细胞特异性对比剂磁共振增强检查?
这个检查最适合什么类型的患者?
肝癌高危人群


原文标题:微小肝癌的“侦察兵”,这个检查可以助力肿瘤早发现早治疗





























































