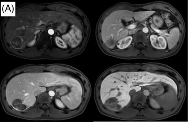
钇90微球选择性内放射治疗(Y90-SIRT)作为一种肝脏肿瘤局部治疗手段在国际上应用已超过20年。与其他肝脏局部治疗手段不同,Y90-SIRT具有强效缩瘤和增大余肝体积的双重疗效。这一突出优势也让它成为初始不可切除肝细胞癌(Hepatocellular carcinoma, HCC)降期和转化治疗的理想选择。制定合适的治疗策略是实现不可切除HCC通向治愈之路的关键。2021年9月,北京清华长庚医院董家鸿院士团队联合海南省肿瘤医院、重庆西南医院、博鳌超级医院等团队,顺利开展中国大陆首例特许准入钇90树脂微球手术,使一位不可切除的晚期HCC患者成功降期转化,后在清华长庚医院肝胆胰中心获得根治性切除,达到临床治愈。近日,Asia-Pacific Journal of Clinical Oncology上发表了该病例报告,并提出晚期肝癌患者可通过Y90-SIRT降期后行根治性手术,实现临床治愈。 病例描述 患者男性34岁,乙肝病史10余年。术前腹部增强CT提示右肝叶巨大肝癌,10.73*8.02*10.97 cm,合并门脉右支癌栓,右肝静脉癌栓,AFP 155499 ng/ml,一天后迅速升至180446 ng/ml。入院诊断:HCC CNLC-IIIa期,经多学科会诊后,建议患者进行Y90-SIRT治疗,钇90微球处方活度为2.01 GBq。9月28日患者在海南博鳌超级医院接受Y90-SIRT手术。术后24小时,AFP降至150278 ng/ml。术后出现一过性轻微疲劳和食欲减退,转氨酶和胆红素短暂升高,无其他不良反应发生。患者于术后第三天出院。 术后1月随访AFP降至19000 ng/ml,CT显示原肿瘤病灶最大直径缩小至6.5 cm。术后3月MRI提示肿瘤病灶最大直径为5.2 cm,未见门脉及肝静脉分支癌栓。患者经Y90-SIRT成功降期至CNLC Ib期(图A)。术后5月患者在北京清华长庚医院接受肝右后叶切除术(图B)。术后病理提示瘤床大小为5.0*4.5*4.0 cm,仅4%活性肿瘤细胞,脉管癌栓消失,MVI 0,切缘未见肿瘤细胞(图D)。AFP降至正常水平,经MDT评估患者达到临床治愈。目前患者完全康复,在随访中。 图D 病理可见瘤床几乎完全坏死 讨论 Y90-SIRT通过超选插管将放射性微球送至肿瘤病灶,以局部精准内放疗的方式杀伤肿瘤细胞,缩瘤效果显著且不损伤周围正常肝组织,实现大肝癌的成功降期转化。与TACE相比,使用Y90-SIRT治疗降期成功率更高,且无进展生存时间更长,副作用小,更安全。本例患者Y90-SIRT治疗后成功从CNLC IIIa期降至CNLC Ib期。Y90-SIRT还可显著增大余肝体积,解决高肿瘤负荷HCC因余肝体积不足而无法手术的难题。与PVE相比,增大余肝体积更显著(SIRT vs PVE:63% vs 36%,p<0.01)。本例患者的余肝体积在Y90-SIRT前为25%,SIRT后为75%。Y90-SIRT还可激活肝脏局部免疫,在Y90-SIRT后数个月,肿瘤病灶仍有持续应答,并可降低术后复发风险。本例患者在Y90-SIRT后3个月达到影像学CR,后经评估行根治性手术,获得临床治愈。中国肝癌人群以大肝癌居多,初诊时多为CNLC II期、III期,大多无根治手术机会,预后差。Y90-SIRT降期转化治疗策略为初始不可切除HCC患者提供了根治切除机会。 结语 随着Y90-SIRT不断进入国际权威指南推荐,其疗效和安全性已得到广泛认可。本例是中国大陆首例采用Y90-SIRT降期策略实现临床治愈的HCC,初步表明Y90-SIRT降期策略是实现HCC根治的潜在方向,并得到了国际认可。相信Y90-SIRT降期转化策略会给更多中国肝癌患者带来根治治疗希望和机会,让更多患者实现临床治愈,回归正常生活。 参考文献 Feng, Xiaobin, et al. "Selective internal radiation therapy with yttrium‐90 resin microspheres followed by anatomical hepatectomy: A potential curative strategy in advanced hepatocellular carcinoma." Asia‐Pacific Journal of Clinical Oncology .

图A Y90-SIRT治疗后3月EOB-MRI:癌灶显著缩小(D=5.2 cm),癌栓消失







































































