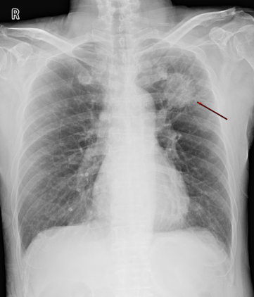
近日,梁伯(化名)来到广州医科大学附属第一医院肝胆外科复诊,一年前他曾因肺癌肝转移来到这里,汪国营教授团队给他实施了肝癌切除手术,复查发现术后恢复良好,至今没有复发。 2020年4月,梁伯因左上肺鳞癌接受了肺癌根治手术,术后坚持定期到医院复查。原本以为肿瘤切除了就“万事大吉”了,去年5月底,再次复查胸腹部CT时发现,梁伯的肝脏有一个明显的占位性病变,大小约4*2cm,考虑是肺癌肝转移。 得知“肿瘤转移”之后,梁伯及家属非常担忧,在推荐下慕名来到广州医科大学附属第一医院肝胆外科主任汪国营教授的门诊。经过详细查看和初步了解病史之后,汪国营主任对梁伯的病情已心中有数,安慰他先安心住院检查,接受进一步的治疗。
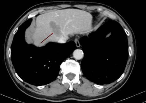
“综合各项检查评估,目前考虑为肺癌肝转移,但值得庆幸的是,暂没有发现其他器官有转移,只有肝脏上面有一个转移病灶,位于肝脏S8段,这就有了手术切除的可能。”汪国营主任提出,患者安全是首位,必须要在保证肿瘤完整切除的同时,避免大出血,将手术风险降至最低,“因为肿瘤紧贴血管,并且患者有多年抽烟史,合并慢性阻塞性肺疾病10多年,是非常明显的桶状胸。”

△腹部CT示肝转移瘤
为了手术安全,汪国营主任团队制定了开腹手术的方案,这样更有利于患者围术期心肺功能的管理。
在完善术前准备后,呼吸功能锻炼一定程度上改善了肺功能后,汪国营主任带领团队为梁伯进行了“S8段转移性肝癌切除术”。
手术过程中,在麻醉医生的保驾护航下,患者的生命体征平稳,术后麻醉复苏顺利,成功拔除气管插管,平安送回普通病房。在肝胆外科医护团队精心照护下,术后第9天,梁伯顺利出院,随访至今已有1年多,暂未发现肿瘤复发。
“在以前,肿瘤一旦发生转移,就认为进入晚期,失去了手术机会。这次手术,打破了固化的传统思想,为部分发生转移的肿瘤患者提供了新的治疗思路和解决方案。”汪国营主任表示,对于部分肝转移瘤患者,包括肺癌、胃肠道肿瘤等肝转移患者,如果严格把握手术指征,采取积极手术切除是有可能让患者获益的,“所以,肿瘤肝转移的患者并不代表一点治疗希望都没有,关键在于及时发现、精准评估、个体化综合治疗。”
专家介绍
汪国营
广州医科大学附属第一医院
肿瘤医学中心-肝胆肿瘤中心主任
肝胆外科主任
主任医师,博士生导师,医学博士
专业方向:
擅长肝胆胰脾外科疑难危重疾病的诊治、复杂肝胆胰脾外科及肝脏移植手术,在腔镜微创外科技术、肝癌的规范化综合诊治、门脉高压症的外科治疗、肝移植的原发病复发和并发症防治等方面有丰富经验。
开诊时间:
荔湾区.大坦沙院区
周三下午
越秀区.沿江院区
周二上午
赵超尘
副主任医师
广州医科大学附属第一医院
肿瘤医学中心-肝胆肿瘤中心
肝胆外科副主任
专业方向:
擅长胆道结石的微创治疗;肝肿瘤的微创手术及复杂肝癌的综合治疗;胆管、胰腺来源的恶性肿瘤的规范化手术治疗;脾脏疾病的微创治疗。
出诊时间:
荔湾区.大坦沙院区
周四下午
越秀区.沿江院区
周三上午、周五上午



































































































