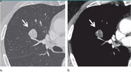
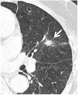
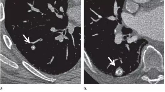
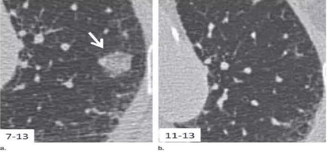
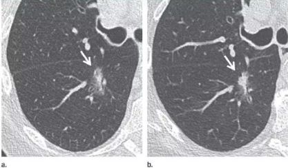
在中国人的印象里 心和肺一直是“形影不离”的 海尔兄弟 成语里有 撕心裂肺 狼心狗肺 没心没肺 …… 医学术语里有 心肺功能 心肺复苏 心肺康复 …… 尤其是当肺部查出“小阴影” 心更是脱不了关系 每天都惴惴不安 今天肿医君就来带大家看看 这让人烦恼的 肺部结节 Part.1: 肺部结节 真实病例: 张阿姨今年48岁,单位体检结果显示,肺上有一个0.8cm的小结节。张阿姨听说肺结节会变成肺癌,她担心极了,让儿子帮忙上网查询,向其他人咨询,可她得到的建议多种多样,让刘阿姨无所适从。 慢慢长大会不会变成肺癌啊 肺癌是世界上发病率及死亡率最高的恶性肿瘤,也是我国发病率和死亡率最高的疾病。目前约 75% 的肺癌患者在诊断时已属晚期,5年生存率仅为 15.6%。提高肺癌生存率的唯一途径是端口前移,早发现、早诊断和早治疗。 美国《化学文摘》2018全球癌症统计报告显示 肺癌(蓝色)高居发病率和死亡率之首 全球发病率11.6% 全球死亡率18.4% 湖南省肿瘤医院胸外一科 主任医师 陈跃军 很多患者忧心忡忡,不知道是否该进行进一步检查。如果对体检报告中的一些疾病迹象置若罔闻,等“小结节”长大变成了“肿块”,往往已错过最佳手术时机。那么我们应该怎么正确对待肺部结节呢? Part.2: 结节的分类 知识点 肺部结节(solitary pulmonary nodule,简称SPN)是肺实质完全包围的单发小病灶,类圆形或不规则形状,通常边界清晰,由肺实质包裹,不累及肺门和胸腔纵隔胸膜,不引发肺炎、肺不张或胸腔积液的组织。 肺结节分类如下 按大小: 肺结节中,直径1cm以内的称为小结节,直径0.5cm以内为微结节。局部病灶直径>3cm者称为肺肿块,也有医院将其报告为肺肿物或肺占位。 肺部结节尺寸越大,肺癌的可能性相对较大。 按数量: 肺结节可以是孤立性或多发性,孤立性肺结节即单个病灶,多无明显症状,属于边界清楚、密度增高且周围被含气肺组织包绕的软组织影。2个及以上病灶称为多发性肺结节。 肺结节的个数与肺癌可能性没有相关性 按密度: 根据病灶密度不同,肺结节还可分为实性肺结节和亚实性(非实性)肺结节,后者包括纯磨玻璃样结节。实性肺结节是肺内局限的密度增高影,病变密度相对较高,掩盖其中走行的肺细小支气管影和血管影(肺纹理);纯磨玻璃结节指CT显示的肺内密度稍增高影,通过病灶仍然能看到肺纹理影,就像透过磨玻璃观察到相对模糊的影像一样。 磨玻璃样结节尤其是持续存在的磨玻璃样结节,一般是肿瘤性病变 湖南省肿瘤医院胸外一科 主任医师 陈跃军 发现肺结节之后,不用过分紧张,但也不能掉以轻心,大部分肺结节都是良性的,只有少数肺结节是恶性的。 Part.3: 区分结节性质 结节良性的三大表现 1、 结构清晰,边缘平滑。内含脂肪和钙化的实性结节(箭头),符合错构瘤表现。建议进一步 CT 随访。 源自美国Fleischner 学会2017 年公布案例图(下同) 2、 有明显钙化痕迹。CT 图像显示边界清楚的中心钙化(a)或层状钙化(b)结节,均为典型的肉芽肿表现。建议进一步 CT 随访。 3、没有变大的趋势,甚至逐渐消失。(a)左肺上叶层厚 1 mm 的 CT 横断面图像,显示一个模糊的 10 mm 大小磨玻璃样结节(箭头)。(b)4 个月后的 CT 随访图像,显示未经治疗的病变在随访间期消失,符合良性病因,如局灶性感染。 结节恶性的三大表现 1、 毛刺状结节 左肺上叶层厚 1 mm 的 CT 横断面图像,显示一个可疑的实性毛刺状结节(箭头)。手术证实为浸润性腺癌。 2、 磨玻璃区域逐渐长大的结节 (a)右肺中部层厚 1 mm 的 CT 横断面图像,显示一个 10 mm 大小的纯磨玻璃样结节(箭头)。(b)同一位置 15 个月后的 CT 随访图像,显示病变的不透明度只有很小增加。(c)取得 b 图 10 个月后,同一位置的 CT 图像,显示结节已发展成较大的实性结节。手术切除证实为 1A 期浸润性鳞屑样为主的腺癌 3、实性结节逐渐变大的结节 (a)右肺下叶上段层厚 1 mm 的 CT 横断面图像,显示一个高度可疑(较大、磨玻璃样外观和实性形态)的部分实性结节(箭头)。(b)3 个月后的 CT 随访图像显示,实性成分的大小逐渐增加。手术显示为浸润性腺癌。 除了上述影像资料,咨询者的生活方式也是判断依据。 肺癌的高危人群 (1)年龄在55岁以上; (2)年数乘以每天吸烟的支数>400支*年的吸烟患者,其中也包括曾经吸烟,但戒烟时间不足15年者;被动吸烟者; (3)有职业暴露史(石棉、铍、铀、氡等接触者); (4)有恶性肿瘤病史或肺癌家族史; (5)有慢性阻塞性肺疾病(COPD)或弥漫性肺纤维化病史。 Part.4: 发现结节怎么做? 1、肺部小结节并不等于肺癌,并且大部分是良性的,有的通过保守治疗如抗炎或抗痨治疗,甚至不做任何治疗观察后消失。因为人体有自身免疫力的,只要营养好,一般的炎性病变可自行吸收。 2、当医生判断结节恶性可能性较小时,还是建议患者要定期检查胸部CT。5毫米以下的微结节每年复查一次,5至10毫米的小结节每三个月复查一次,随访三至五年。 CT在肺内病变中的诊断优势非常明显,CT通过显示组织横断面及三维结构图像进行诊查,有效避免了肺与心脏、纵隔、横膈等组织的重叠,能发现肺尖、脊柱旁、靠近胸膜、心脏后方等部位胸片难以发现的病灶。另外,低剂量CT筛查所产生的射线剂量很低,对人体的影响极低。 3、当医生判断为恶性可能性较大时,应早期进行手术(胸腔镜)治疗。国内外多个研究结果显示,经过手术治疗的I期患者的10年生存率达到了90%以上。 目前微创胸腔镜手术是治疗肺部小结节、早期肺癌的主要方法。胸腔镜手术应用广泛,只需一个1cm胸腔镜观察孔和一个2-3cm操作孔,行肺叶或肺段切除术,疗效明确,创伤非常小,疼痛轻,术后恢复快,不需要做任何的化疗和放疗。 在我们临床工作中对上千例磨玻璃结节、微小结节患者的长期临床观察研究结果显示,90%以上患者的结节没有发生变化,10%的患者在随访过程中发现结节长大或实质成分增加等改变,及时手术,但没有一例出现复发转移,所以只要找对了专家,定期随访,并不会耽误治疗。 最危险的情况其实是病人发现肺部结节去看医生,医生考虑肺部小结节可暂时不处理,建议定期复查,而病人把不手术、不服药误认为没病,一直拖到出现症状后再去就诊,耽误了病情。 
































































































